Dr. Eric ARVOUET, Omnipratique Parodontologie Prothèses sur implants
Dr. Guilaine GAUTHIER, Omnipratique
Orthodontie
Prothèses sur implants
Dr. Delphine LALLOUET, Omnipratique
Implantologie
70, rue de Montreuil
94300 VINCENNES
Tél. : 01 43 28 00 30
Recherche
par mot-clés

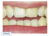
L'expertise des chirurgiiens-dentistes en matière de blanchiment permet de traiter la quasi-totalité des cas de figure avec un résultat tel que montré sur les photos ci-contre.
Il existe de nombreux procédés pour influencer la teinte de votre émail, votre chirurgien-dentiste saura faire le bon diagnostic et vous proposer le procédé adapté à votre cas personnel:au cabinet ou chez vous, suivant la spécificité de votre bouche.